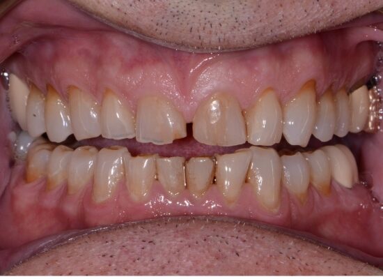
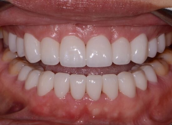
Patient 1


BEFORE: Patient had decay and old silver crowns that he wanted replaced.
AFTER: 20 porcelain veneers placed and 7 porcelain crowns. He did every tooth he had. Molars were done to remove decay and old silver crowns and give the most aesthetically pleasing result.
Patient 2


BEFORE: Patient felt that she had tiny teeth.
AFTER: She wanted bigger and brighter teeth so 20 porcelain veneers were placed.
Patient 3


BEFORE: Lots of wear from grinding teeth with open spaces between teeth and old, chipped bonding.
AFTER: Invisalign to straighten the teeth. Then, ZOOM whitening and veneers on upper teeth.
AFTER: Invisalign to straighten the teeth. Then, ZOOM whitening and veneers on upper teeth.


BEFORE: Lots of wear from grinding teeth with open spaces between teeth and old, chipped bonding.
AFTER: Invisalign to straighten the teeth. Then, ZOOM whitening and veneers on upper teeth.
AFTER: Invisalign to straighten the teeth. Then, ZOOM whitening and veneers on upper teeth.
Patient 4


BEFORE: Crowded teeth with lots of wear from grinding.
AFTER: Invisalign to straighten teeth. Then, ZOOM whitening and veneers placed on upper eight teeth.
AFTER: Invisalign to straighten teeth. Then, ZOOM whitening and veneers placed on upper eight teeth.
Patient 5


BEFORE: This patient had trauma to front upper teeth.
AFTER: Invisalign to straighten the teeth. Then, ZOOM whitening and ten upper veneers placed.
AFTER: Invisalign to straighten the teeth. Then, ZOOM whitening and ten upper veneers placed.
Patient 6


BEFORE: Discolored teeth with lots of wear from grinding.
AFTER: Invisalign to straighten teeth. Then, ZOOM whitening and veneers placed on upper and lower teeth.
AFTER: Invisalign to straighten teeth. Then, ZOOM whitening and veneers placed on upper and lower teeth.
Patient 7


BEFORE: Patient had dental phobia and went without dental care for 20 years.
AFTER: ZOOM whitening, full mouth reconstruction with veneers and crowns placed.
AFTER: ZOOM whitening, full mouth reconstruction with veneers and crowns placed.
Patient 8


BEFORE: Patient had not been to the dentist in 15 years.
AFTER: Implants placed and full mouth restorations in place.
AFTER: Implants placed and full mouth restorations in place.
Patient 9


BEFORE: This patient had trauma to front teeth and had old discolored bonding.
AFTER: Orthodontics used to straighten the teeth. Whitening and eight veneers placed on upper teeth.
AFTER: Orthodontics used to straighten the teeth. Whitening and eight veneers placed on upper teeth.
Patient 10


BEFORE: This patient wanted to change the color and look of her smile, but did not want orthodontic treatment.
AFTER: Veneers on all upper and lower teeth were placed.
AFTER: Veneers on all upper and lower teeth were placed.
Patient 11


BEFORE: Several teeth removed at childhood.
AFTER: Upper implants placed and all-porcelain bridges and crowns in place.
AFTER: Upper implants placed and all-porcelain bridges and crowns in place.
Patient 12


BEFORE: Patient did not like shape, color or the look her teeth and did not want orthodontic treatment.
AFTER: ZOOM whitening and all-porcelain crowns, bridges and veneers on upper and lower teeth placed.
AFTER: ZOOM whitening and all-porcelain crowns, bridges and veneers on upper and lower teeth placed.


BEFORE: Patient did not like shape, color or the look her teeth and did not want orthodontic treatment.
AFTER: ZOOM whitening and all-porcelain crowns, bridges and veneers on upper and lower teeth placed.
AFTER: ZOOM whitening and all-porcelain crowns, bridges and veneers on upper and lower teeth placed.
Patient 13


BEFORE: Patient did not like shape, color or the look her teeth and did not want orthodontic treatment.
AFTER: ZOOM whitening and all-porcelain crowns, bridges and veneers on upper and lower teeth placed.
AFTER: ZOOM whitening and all-porcelain crowns, bridges and veneers on upper and lower teeth placed.